Liczne zęby dodatkowe i nadliczbowe

Pacjent: wiek 23 l.
Badanie z dnia: 18.08.2021
Badanie wykonano na aparacie: Kodak CS 9600
Parametry techniczne badania: 120kV,6,3mA,20s 1147mGy*cm²

ANALIZA BADANIA

Tomografia szczęka i żuchwa.


Szczęka.


Kostna przegroda nosa skrzywiona w prawą stronę. Zatoki szczękowe powietrzne. Śluzówka zatok niezmieniona.
Ciągłość blaszki kortykalnej dna zatok przerwana w okolicy wierzchołków korzeni zębów 17,16 po stronie prawej, 25,26 i 27 po stronie lewej.

 

Podejrzenie fenestracji przy zębie 12.

Pomiędzy korzeniami zębów 24 i 25 widoczny zatrzymany ząb nadliczbowy. Położony pionowo. Wierzchołek korzenia zagięty, wpukla się do swiatła zatoki szczękowej. Widoczna dyskretna resorpcja korzenia podniebiennego zęba 24 i policzkowego zęba 25.
Zęby bez znamion leczenia kanałowego. Tkanki okołowierzchołkowe bez widocznych radiologicznie cech patologicznych.

Radiologiczne przejaśnienia mogące odpowiadać próchnicy lub ubytkom w zębach: 12 – strona mezialna, 21 – strona dystalna - do dalszej diagnostyki kliniczne.

 

Żuchwa


Zanik wysokości wyrostka zębodołowego w odcinku przednim żuchwy (około 2mm) oraz ścieńczenie blaszki zbitej po stronie przedsionkowej przy zębach 33,44.

Ząb 38 – częściowo zatrzymany. Położony poziomo, koroną skierowany w stronę mezialną. Wierzchołki korzeni zagięte. Kanał nerwu zębodołowego dolnego biegnie po stronie językowej potem poniżej zęba 38. Korzenie w kontakcie z kanałem. Poziom wyrostka po stronie dystalnej zęba 37 obniżony.
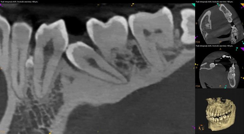
Pomiędzy korzeniami zębów 36 i 35 widoczne dwa zatrzymane zęby dodatkowe. Ząb po stronie przedsionkowej położony pionowo skośnie, koroną skierowany w stronę mezialną i policzkową. Wierzchołek korzenia w kontakcie z kanałem nerwu zębodołowego dolnego.
Ząb po stronie językowej położony skośnie, koroną skierowany w stronę mezialną. Resorpcja korzeni zębów sąsiednich niewidoczna. Pomiędzy zębami dodatkowymi ognisko zagęszczenia struktury kostnej.
Po stronie przedsionkowej zęba 34 ząb dodatkowy. Ząb 34 zrotowany w stronę dystalną. Wierzchołek korzenia dodatkowego zagięty.
Pomiędzy korzeniami zębów 34 i 33 widoczny zatrzymany mikrodontyczny ząb nadliczbowy.
Pomiędzy korzeniami zębów 44 i 45 widoczny zatrzymany ząb dodatkowy. Położony pionowo. Wierzchołek korzenia zęba zagięty. Widoczna resorpcja korzenia zęba 44.
Pomiędzy korzeniami zębów 45 i 46 widoczny zatrzymany ząb dodatkowy. Położony pionowo. Widoczna resorpcja korzenia zęba 45 oraz korzenia mezialnego zęba 46. Poszerzenie mieszka wokół korony zęba (około 3,5mm) – do obserwacji.
Zęby bez znamion leczenia kanałowego. Tkanki okołowierzchołkowe bez widocznych radiologicznie cech patologicznych.

Radiologiczne przejaśnienia mogące odpowiadać próchnicy lub ubytkom w zębach: 46 – strona mezialna - do dalszej diagnostyki klinicznej.

Wróć do przypadków
Diagdent - Pracownie Radiologii Stomatologicznej i Laryngologicznej
Akceptujemy:

Karta VisaKarta Visa ElectroKarta MastercardKarta MaestroBlik - płatnośćPłatność bezdotykowaKarta Dużej Rodziny

Diagdent w social mediach:
© Diagdent - Wszelkie prawa zastrzeżone
Diagdent - Pracownie Radiologii Stomatologicznej i Laryngologicznej