Pacjent: wiek 43 l.
Badanie z dnia: 30.09.2021
Badanie wykonano na aparacie: Kodak CS 9600
Parametry techniczne badania: 120kV, 8mA, 20s, 1457mGy*cm²

OPIS BADANIA
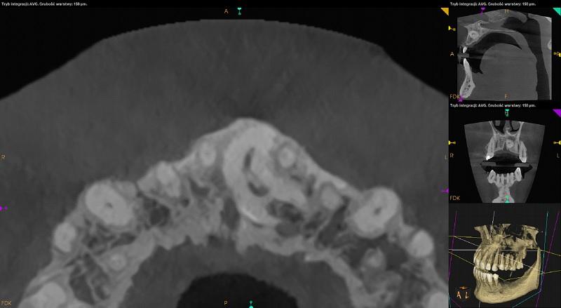
Szczęka.
Pomiędzy zębami 11 i 21 widoczny zatrzymany mesiodens. Położony poziomo, koroną skierowany w stronę podniebienną. Korzeń zagięty, przylega do kanału przysiecznego. Resorpcja korzeni zębów sąsiednich niewidoczna. Radiologiczne przejaśnienie w koronie zęba zatrzymanego może odpowiadać resorpcji.
Po stronie podniebiennej wierzchołków korzeni zębów 22-23 zatrzymany ząb dodatkowy. Położony pionowo skośnie, koroną skierowany w stronę dystalną. Korzeń przylega do dna przewodu nosowego dolnego lewego. Radiologiczne przejaśnienie w koronie zęba zatrzymanego może odpowiadać resorpcji.

![]()
![]()
![]()
![]()
![]()
![]()
