 
        Pacjentka: wiek 13 l.
Badanie z dnia: 09.04.2021
Badanie wykonano na aparacie: Kodak CS9600
Parametry techniczne badania: 120kV, 6,3mA, 20s, 673mGy*cm²

OPIS BADANIA
Tomografia szczęka.
Zatoki szczękowe powietrzne. Niewielkie przyścienne pogrubienie błony śluzowej w zachyłkach zębodołowych (do 1mm). Miejscowy rozrost błony śluzowej na ścianie przyśrodkowej w zatoce lewej (do 7mm).
Ścieńczenie blaszki zbitej po stronie przedsionkowej przy zębach 14,24.
Podejrzenie fenestracji przy korzeniu zęba 12.
Zęby 17,15,13 i 27 z niezakończonym rozwojem wierzchołków korzeni – odpowiednio do wieku.
Zęby 18 i 28 w stadium rozwoju 18 – Ri, 28 - Cr3. Korony skierowane pionowo.
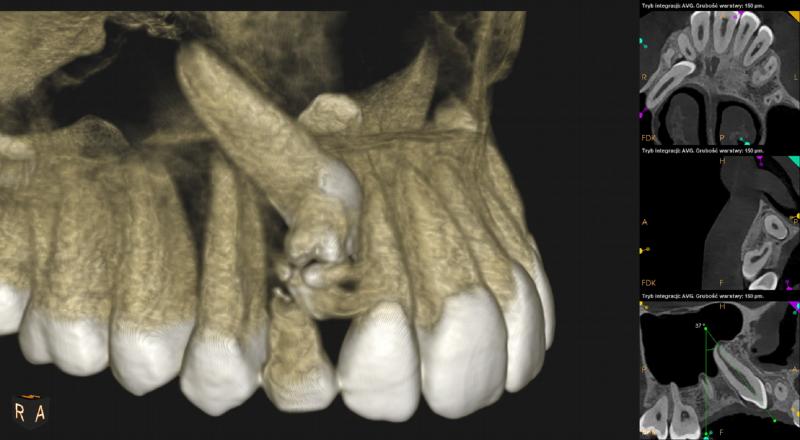
Nad zębem 53 owalny obszar otoczony rąbkiem przejaśnienia, wypełniony masą drobnych odontoidów (12,5mm x 10mm x 8,5mm). Obraz radiologiczny odpowiada zębiakowi zestawnemu (Odontoma compositum).
Ząb 13 – zatrzymany. Położony pionowo skośnie, koroną skierowany w stronę mezialną i podniebienną. Zrotowany w stronę mezialną.
Wierzchołek korzenia zęba zagięty, w świetle zatoki szczękowej. Widoczna resorpcja korzenia zęba 12.
Zęby bez znamion leczenia kanałowego. Tkanki okołowierzchołkowe bez widocznych radiologicznie cech patologicznych.
Radiologiczne przejaśnienia mogące odpowiadać próchnicy lub ubytkom w zębach: 12 – strona mezialna, 22 – strona mezialna - do dalszej diagnostyki klinicznej.







