Pacjentka: wiek 69 l.
Badanie z dnia: 02.01.2023
Badanie wykonano na aparacie: Carestream CS 9600
Parametry techniczne badania: 120kV, 6,3mA, 20s 673mGy*cm2
Dane kliniczne: opuchnięcie, ból

OPIS BADANIA
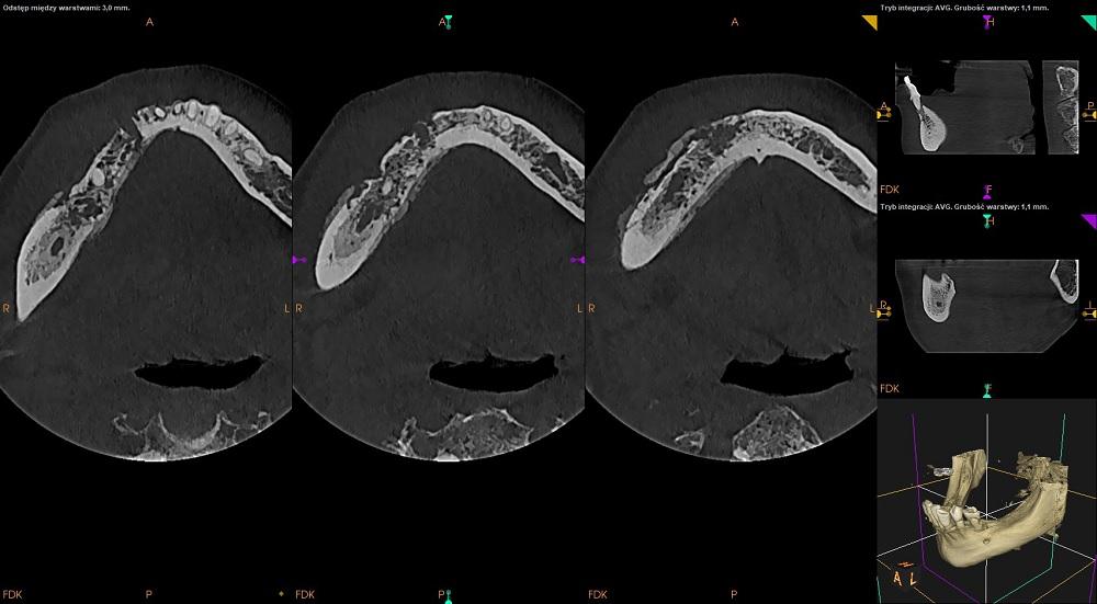
CBCT żuchwy
Badanie CBCT ukazuje chorobowo zmieniony obszar kości trzonu żuchwy po stronie prawej.
W obrazie kości można stwierdzić zatarcie prawidłowego obrazu beleczek kości gąbczastej.
Nieostro ograniczone ogniska osteolizy - obraz kości jak gdyby "wyjedzonej przez mole", a pomiędzy nimi obszary prawidłowej kości.
Występują odczyny okostnowe - festonowate nawarstwienia nowej kości.
W obszarze chorobowo zmienionym - okolica 45 widoczny pozostawiony korzeń zęba oraz fragment tkanki korzenia w okolicy 46/47.
Widoczny zarys zębodołu w okolicy 43.
Obraz radiologiczny odpowiada przewlekłemu zapaleniu kości - osteomyelitis.

![]()
![]()
![]()
![]()
![]()
![]()
