Pacjentka: wiek 20 l.
Badanie z dnia: 04.09.2021
Badanie wykonano na aparacie: Kodak CS 8100
Parametry techniczne badania: 90kV, 2,5mA, 15s, 1179mGy*cm²

ANALIZA BADANIA
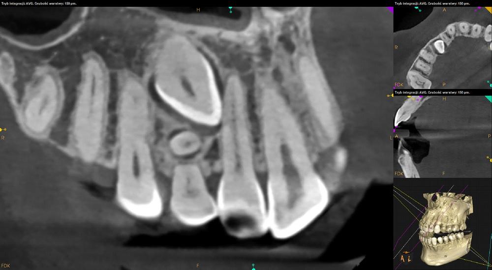
Tomografia szczęka i żuchwa.
Ząb 13 – zatrzymany. Położony pionowo skośnie, koroną skierowany w stronę mezjalną i podniebienną. Zrotowany w stronę dystalną.
Korona zęba 13 przylega do korzenia zeba 12 – resorpcja korzenia niewidoczna. Wierzchołek korzenia zęba 13 zagięty.

![]()
![]()
![]()
![]()
![]()
![]()
