Pacjentka: wiek 28 l.
Badanie z dnia: 14.10.2019
Badanie wykonano na aparacie: Kodak CS 9300
Parametry techniczne badania: 84kV, 5mA, 20s

OPIS BADANIA
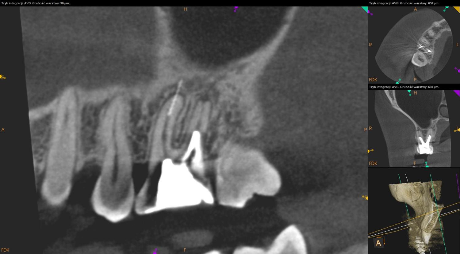
Tomografia szczęka, okolica 16.
Zatoka szczękowa prawa w części widocznej na badaniu powietrzna.
Niewielkie przyścienne pogrubienie błony śluzowej w zachyłku zębodołowym (do 1mm).
Ciągłość blaszki kortykalnej dna zatoki szczękowej prawej zachowana.
Ząb 16 – posiada znamiona leczenia kanałowego. W kanałach dystalnym i podniebiennym umieszczone wkłady. Powyżej wkładów, w części przywierzchołkowej kanałów materiał wypełniający niewidoczny (kanał dystalny – 4mm, podniebienny – 4,5mm). Widoczne cztery światła kanałów. Kanały mezialne niewypełnione. W kanale mezialnym w okolicy wierzchołka widoczne złamane narzędzie endodontyczne. Szpara ozębnej wokół wierzchołków korzeni poszerzona.
Pozostałe zęby widoczne na badaniu bez znamion leczenia kanałowego. Tkanki okołowierzchołkowe bez widocznych radiologicznie cech patologicznych.
Radiologiczne przejaśnienia mogące odpowiadać próchnicy lub ubytkom w zębach: 17 – strona mezialna, 15 – strona dystalna – do dalszej diagnostyki klinicznej.

![]()
![]()
![]()
![]()
![]()
![]()
