Pacjentka: wiek 9 l.
Badanie z dnia: 20.07.2020
Badanie wykonano na aparacie: Kodak CS 9600
Parametry techniczne badania: 100kV, 2,5mA, 15s

OPIS BADANIA
CBCT szczęki i żuchwy.
Zatoki szczękowe powietrzne.
Obserwowana oligodoncja (brak powyżej sześciu zębów)
Brak zawiązków zębów: 14,16,17,24,26,31,32,37,41,46,47
Zęby wykazują stożkowaty kształt.
Zęby stałe obecne w łukach zębowych:
szczęka 11,12,21,22
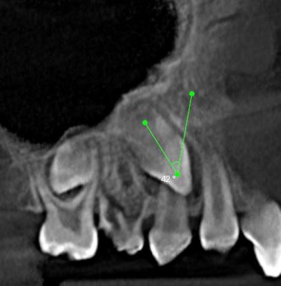
żuchwa 36,42
Zęby mleczne obecne w łukach zębowych z postępującą resorpcją fizjologiczną korzeni:
53 (zawiązek zęba 13 widoczny)
54 (brak zawiązka 14)
55 (zawiązek 15 widoczny)
63 (zawiązek 23 widoczny)
64 (brak zawiązka 24)
65 (zawiązek 25 widoczny)
W żuchwie:
71,72,81 – zęby mleczne, wierzchołki korzeni skrócone.
Wykazują cechy resorpcji fizjologicznej.
81 71

![]()
![]()
![]()
![]()
![]()
![]()
