Pionowe złamanie korzenia

Pacjentka: wiek 42 l.
Badanie z dnia: 05.03.2024
Badanie wykonano na aparacie: Carestream CS 9600
Parametry techniczne badania: 120kV, 6,3mA, 19s 1009mGy*cm²

ANALIZA BADANIA

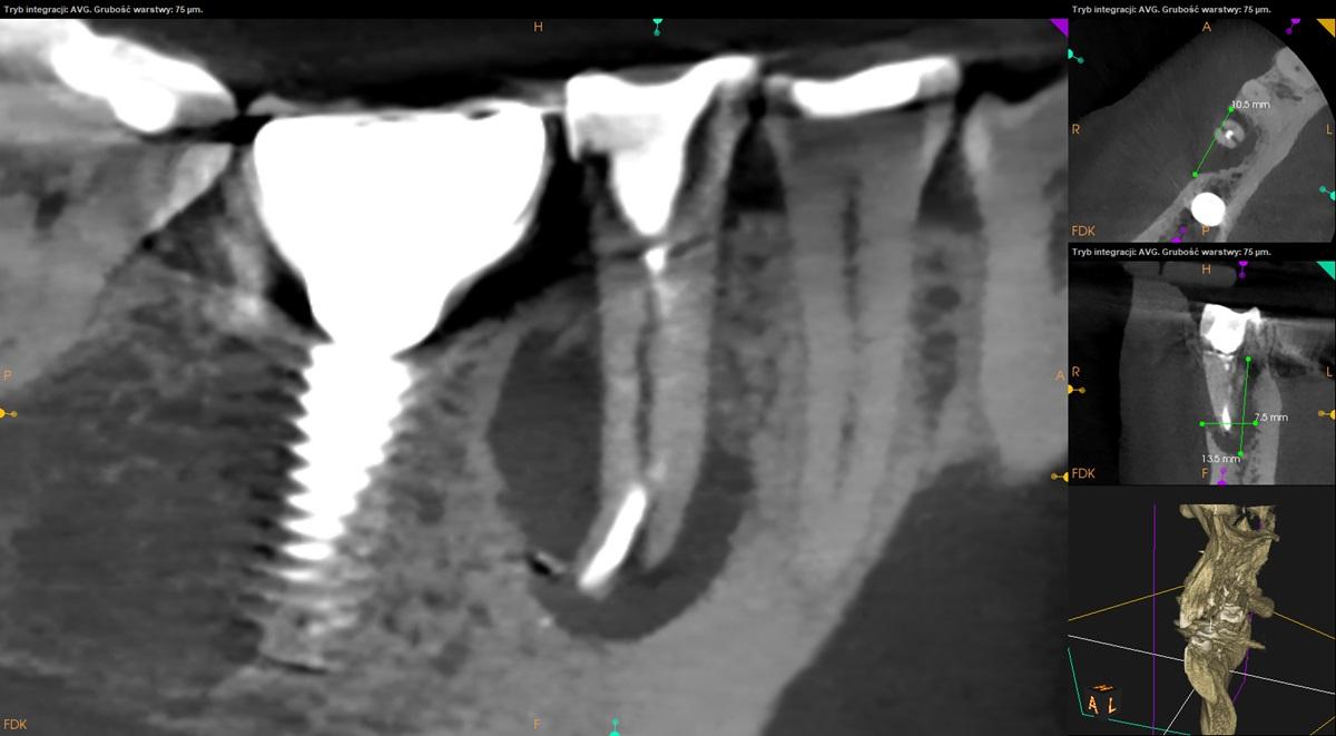
Tomografia szczęki i żuchwy, strona prawa.

Ząb 45 – po leczeniu kanałowym. Widoczne pionowe złamanie korzenia. Zanik tkanki kostnej wokoł korzenia obejmujący blaszkę zbitą po stronie przedsionkowej.

Wróć do przypadków
Diagdent - Pracownie Radiologii Stomatologicznej i Laryngologicznej
Akceptujemy:

Karta VisaKarta Visa ElectroKarta MastercardKarta MaestroBlik - płatnośćPłatność bezdotykowaKarta Dużej Rodziny

Diagdent w social mediach:
© Diagdent - Wszelkie prawa zastrzeżone
Diagdent - Pracownie Radiologii Stomatologicznej i Laryngologicznej