Pacjentka: wiek 11 l.
Badanie z dnia: 23.09.2023
Badanie wykonano na aparacie: Carestream CS 9600
Parametry techniczne badania: 120kV, 3,2mA, 20s 642mGy*cm2

OPIS BADANIA
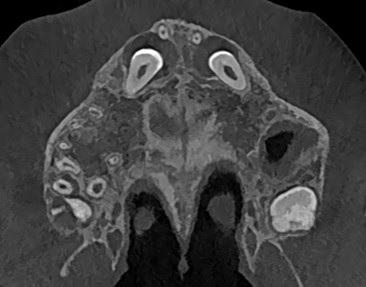
CBCT szczęki
Badanie uwidoczniło:
Zęby 13, 23 położone skośnie, mezjalnie i podniebiennie.
Korony zębów otoczone szerokimi mieszkami – ok 10-12mm - mogą odpowiadać torbielom zawiązkowym.
Korzenie proste, wierzchołki z niezakończonym rozwojem.
W łuku zębowym zęby mleczne 53, 63.
Położenie koron zębów 13,23 podniebienne względem korzeni zębów 12, 22.
Widoczna resorpcja korzeni siekaczy bocznych na długości 1/3 wierzchołkowej korzeni.
12 powyżej 13
22 powyżej 23

![]()
![]()
![]()
![]()
![]()
![]()
